Размер шрифта
Цвет фона и шрифта
Изображения
Озвучивание текста
Обычная версия сайта
MedSwiss
Многопрофильные медицинские
центры в Санкт-Петербурге
+7 (812) 318-03-03
+7 (812) 318-03-03
E-mail
info@medswiss-spb.ru
Адрес
ул. Гаккелевская, д. 21А
пн-вс: 08:00 — 21:00
Московский пр., д. 119
пн-вс: 08:00 — 21:00
Обуховской Обороны пр., д. 120 строение 25
пн-вс: 08:00 — 21:00
Режим работы
Гаккелевская ул., д.21А:
пн-вс:  08:00 — 21:00
Московский пр., д.119:
пн-вс:  08:00 — 21:00
пр. Обуховской Обороны, д.120 строение 25:
пн-пт:  08:00 — 21:00,
сб-вс: 10:00 — 17:00
Запись онлайн
MedSwiss
Многопрофильные медицинские
центры в Санкт-Петербурге
+7 (812) 318-03-03
+7 (812) 318-03-03
E-mail
info@medswiss-spb.ru
Адрес
ул. Гаккелевская, д. 21А
пн-вс: 08:00 — 21:00
Московский пр., д. 119
пн-вс: 08:00 — 21:00
Обуховской Обороны пр., д. 120 строение 25
пн-вс: 08:00 — 21:00
Режим работы
Гаккелевская ул., д.21А:
пн-вс:  08:00 — 21:00
Московский пр., д.119:
пн-вс:  08:00 — 21:00
пр. Обуховской Обороны, д.120 строение 25:
пн-пт:  08:00 — 21:00,
сб-вс: 10:00 — 17:00
Запись онлайн
Кабинет
Услуги
  • Взрослое отделение
    • Гастроэнтеролог
    • Диетолог
    • Кардиолог
    • Аллерголог-иммунолог
    • Врач ЛФК
    • Гематолог
    • Гинеколог
    • Дерматолог
    • Женский уролог
    • Иглорефлексотерапевт
    • Инфекционист
    • Колопроктолог
    • Мануальный терапевт
    • Массажист
    • Невролог
    • Нейрохирург
    • Онколог
    • Оториноларинголог
    • Офтальмолог
    • Процедурный кабинет
    • Психотерапевт
    • Пульмонолог
    • Ревматолог
    • Терапевт
    • Травматолог
    • Уролог
    • Физиотерапевт
    • Флеболог
    • Хирург
    • Еще
  • Детское отделение
    • Педиатр
    • Анализы детям
    • Детский аллерголог-иммунолог
    • Детский гастроэнтеролог
    • Детский гематолог
    • Детский гинеколог
    • Детский дерматолог
    • Детский инфекционист
    • Детский кардиолог
    • Детский массажист
    • Детский невролог
    • Детский нефролог
    • Детский оториноларинголог
    • Детский офтальмолог
    • Детский стоматолог
    • Детский травматолог-ортопед
    • Детский уролог
    • Детский уролог-андролог
    • Детский физиотерапевт
    • Детский хирург
    • Медосмотры для детей
    • Программы «Личный врач»
    • Программы для детей
    • Рентген для детей
    • УЗИ для детей
    • Еще
  • Хирургия
    • Флебология
    • Артроскопия
    • Гинекология
    • Колопроктология
    • Лапароскопическая хирургия
    • Маммология
    • Нейрохирургия
    • Общая хирургия
    • Оториноларингология
    • Офтальмология
    • Травматология и ортопедия
    • Урология
    • Эндоскопическая хирургия
    • Пластическая хирургия
    • Еще
  • Комплексные программы
    • Ведение беременности
    • Программы для детей
    • Программы для женщин
    • Программы для мужчин
    • Программы снижения веса
    • Санаторно-курортные карты
  • Косметология
    • Биоревитализация
    • Гипергидроз
    • Инъекции Ботокса
    • Контурная пластика лица
    • Мезотерапия
    • Микротоковая терапия
    • Пилинги
    • Ультразвуковая чистка лица
  • Профосмотры
    • Водительская комиссия
    • Выездная флюорография (ФЛГ)
    • Выездной медицинский осмотр
    • Диспансеризация гос. служащих
    • Периодический медицинский осмотр
    • Предварительный медосмотр
    • Справка о допуске к гостайне
  • Стоматология
    • Виниры
    • Имплантация зубов
    • Консультация стоматолога
    • Лечение зубов
    • Лечение периодонтита
    • Ортодонтия
    • Отбеливание зубов
    • Протезирование зубов
    • Профессиональная чистка
    • Реставрация зубов
    • Удаление зуба
    • Установка брекетов
    • Хирургия в стоматологии
    • Элайнеры
    • Еще
  • Вакцинация
    • Вакцинация для детей
    • Вакцина Инфанрикс гекса
    • Вакцинация для взрослых
    • Прививка от ветрянки
    • Прививка от впч
    • Прививка от гемофильной инфекции
    • Прививка от гепатита B
    • Прививка от гепатита А
    • Прививка от герпеса
    • Прививка от гриппа
    • Прививка от дизентерии
    • Прививка от дифтерии
    • Прививка от клещевого энцефалита
    • Прививка от коклюша
    • Прививка от кори
    • Прививка от краснухи
    • Прививка от менингококковой инфекции
    • Прививка от паротита (свинки)
    • Прививка от пневмококковой инфекции
    • Прививка от полиомиелита
    • Прививка от ротавируса
    • Прививка от столбняка
    • Еще
  • Диагностика
    • УЗИ
    • Биоимпедансный анализ состава тела
    • Биопсия предстательной железы
    • Биопсия щитовидной железы
    • Биопсия эндометрия
    • Вестибулометрия
    • Диагностика зрения
    • Колоноскопия
    • КТ
    • Маммография
    • Рентген
    • Спирометрия
    • Трихоскопия
    • Функциональная диагностика
    • ЭЭГ: головного мозга
    • Еще
  • Лабораторные анализы
    • Анализ на аллергию на белок коровьего молока
    • Лабораторные исследования
    • Анализ на аллергию на кошек
    • Анализ на аллергию на собак
    • Анализ на пищевую аллергию
    • Гистология
    • Гистология матки
    • Гистология молочной железы
    • Гистология полипа
    • Гистология родинки
    • Анализ на аллергены
    • Еще
  • Вызов врача на дом
    • Для взрослых      
      • Вызов медсестры
      • Вызов терапевта
      • Забор анализов
      • Оформление больничного листа
    • Для детей      
      • Вызов детского врача-педиатра
      • Вызов детского массажиста
      • Детская медицинская сестра
      • Забор анализов у детей на дому
      • Оформление больничного листа
      • Плановый вызов детского невролога
  • Детская стоматология
    • Консультация детского ортодонта
    • Лечение зубов у детей
    • Удаление зубов у детей
    • Чистка зубов у детей
  • Лечение по ОМС
    • Гинекология по ОМС
    • Проктология по ОМС
    • Хирургия по ОМС
  • Стационар
    • Круглосуточный стационар
Врачи
  • Аллергология
  • Анестезиология
  • Гастроэнтерология
  • Гематология
  • Гинекология
  • Дерматология
  • Диетология
  • Кардиология
  • Колопроктология
  • Косметология
  • Лаборатория
  • Лапароскопия
  • Лечебная физкультура
  • Лучевая диагностика
  • Маммология
  • Мануальная терапия
  • Массаж
  • Наркология
  • Неврология
  • Нейрохирургия
  • Онкология
  • Оториноларингология (лор)
  • Офтальмология
  • Педиатрическая помощь на дому
  • Педиатрия
  • Пластическая хирургия
  • Помощь на дому
  • Профпатология
  • Психиатрия
  • Пульмонология
  • Ревматология
  • Рефлексотерапия
  • Стоматология
  • Терапия
  • Травматология
  • Ультразвуковая диагностика
  • Урология
  • Физиотерапия
  • Флебология
  • Функциональная диагностика
  • Хирургия
  • Эндокринология
  • Эндоскопия
  • Администрация
Цены
  • Вакцинация
    • Вакцинация для взрослых
    • Вакцинация для детей
    • Вакцинация от Covid-19
  • Взрослое отделение
    • Аллерголог-иммунолог
    • Анализы и процедуры
    • Гастроэнтеролог
    • Гематолог
    • Гинеколог
    • Дерматолог
    • Диетолог
    • Иглорефлексотерапевт
    • Инфекционист
    • Кардиолог
    • Кинезиолог
    • Колопроктолог
    • ЛФК
    • Маммолог-онколог
    • Мануальный терапевт
    • Массажист
    • Нарколог
    • Невролог
    • Нейрохируг
    • Онлайн-консультирование
    • Оториноларинголог
    • Офтальмолог
    • Психолог
    • Психотерапевт
    • Пульмонолог
    • Ревматолог
    • Терапевт
    • Травматолог
    • Уролог
    • Физиотерапевт
    • Флеболог
    • Хирург
    • Эндокринолог
  • Вызов врача на дом
    • Для взрослых
    • Для детей
  • Детское отделение
    • Детский аллерголог-иммунолог
    • Детский гастроэнтеролог
    • Детский гематолог
    • Детский гинеколог
    • Детский диетолог
    • Детский инфекционист
    • Детский кардиолог
    • Детский массажист
    • Детский невролог
    • Детский нефролог
    • Детский оториноларинголог
    • Детский офтальмолог
    • Детский пульманолог
    • Детский травматолог-ортопед
    • Детский уролог
    • Детский физиотерапевт
    • Детский хирург
    • Детский эндокринолог
    • Медосмотры для детей
    • Педиатр
    • Программы для детей
  • Диагностика
    • Колоноскопия
    • Компьютерная томография
    • Рентген
    • УЗИ
    • Функциональная диагностика
    • ЭГДС
  • Комплексные программы
    • Ведение беременности
    • Программы для женщин
    • Программы для мужчин
    • Санаторно-курортные карты
    • Снижение веса
  • Косметология
    • Ботулинотерапия
    • Коррекция формы
    • Лечение гипергидроза
    • Мезотерапия
    • Микротоковая терапия
    • Пилинг
    • Плазмолифтинг
    • Ультразвуковая чистка
    • Уход
  • Лабораторные исследования
    • Torch-инфекции
    • Аллергодиагностика
    • Аутоиммунные поражения печени и ЖКТ
    • Биомаркеры воспаления и патологических состояний иммунной системы
    • Биохимические исследования мочи
    • Васкулиты и поражения почек
    • Витамины
    • Гематологические исследования
    • Гепатиты, ВИЧ, сифилис
    • Гистологические исследования
    • Группа крови
    • Дегрануляции тучных клеток (ДТК)
    • Диффузные заболевания соединительной ткани
    • Дополнительные исследования
    • Другие гормоны и метаболиты
    • Изосерологические исследования
    • Иммуногистохимические исследования
    • Иммунологические исседования
    • Инфекционные и паразитарные заболевания
    • Инфекционный мононуклеоз
    • Исследование клещей
    • Исследования гемостаза
    • Исследования заболеваний кожи
    • Исследования кала
    • Исследования мочи
    • Исследования на ЗППП
    • Исследования отделяемое мочеполовых органов
    • Исследования спермы
    • Кожные болезни
    • Маркеры аутоиммунных заболеваний
    • Маркеры остеопороза
    • Микробиологические исследования
    • Мониторинг беременности
    • Неврология и кардиология
    • Обмен белков
    • Обмен железа
    • Обмен липидов
    • Обмен углеводов
    • Онкомаркеры
    • Пигментный обмен
    • Показатели минерального обмена
    • Природно-очаговые инфекции
    • Профили молекулярно-генетических исследований
    • Прочие лабораторные исследования
    • ПЦР-исследования
    • Ревматоидный артрит и поражение сосудов
    • Репродуктивная группа
    • Сахарный диабет
    • Серологические исследования
    • Специфические белки
    • Тиреоидная группа
    • Услуги
    • Ферменты
    • Функция надпочечников
    • Цитологические исследования
    • Экспресс-диагностика
    • Электролиты
    • Эндокринопатии
  • Стоматология
    • Анестезия
    • Детская стоматология
    • Диагностика
    • Консультации
    • Лечение зубов
    • Ортодонтия
    • Ортопедия (протезирование)
    • Профессиональная гигиена
    • Расходный материал
    • Хирургия и имплантация
    • Эндодонтическое лечение
  • Хирургия
    • Анестезия
    • Артроскопия
    • Гинекология
    • Колопроктология
    • Лапароскопическая хирургия
    • Маммология
    • Нейрохирургия
    • Общая хирургия
    • Оториноларингология
    • Пребывание в стационаре
    • Травматология и ортопедия
    • Урология
    • Флебология
Акции
  • Акции
  • Скидки
Отзывы
Статьи
  • Блог
  • Заболевания и симптомы
О нас
  • О клинике
  • Новости
  • Отзывы
  • Вакансии
  • Правовая информация
  • Вопросы и ответы
  • Сервисы
    • Запись к врачу онлайн
    • Оплата услуг онлайн
    • Личный кабинет пациента
    • Задать вопрос по больничному листу
    • Мобильное приложение
  • Сертификаты и дипломы
  • Лицензии
Контакты
    "/>
    MedSwiss
    "/>
    +7 (812) 318-03-03
    E-mail
    info@medswiss-spb.ru
    Адрес
    ул. Гаккелевская, д. 21А
    пн-вс: 08:00 — 21:00
    Московский пр., д. 119
    пн-вс: 08:00 — 21:00
    Обуховской Обороны пр., д. 120 строение 25
    пн-вс: 08:00 — 21:00
    Режим работы
    Гаккелевская ул., д.21А:
    пн-вс:  08:00 — 21:00
    Московский пр., д.119:
    пн-вс:  08:00 — 21:00
    пр. Обуховской Обороны, д.120 строение 25:
    пн-пт:  08:00 — 21:00,
    сб-вс: 10:00 — 17:00
    Запись онлайн
    MedSwiss
    Телефоны
    +7 (812) 318-03-03
    E-mail
    info@medswiss-spb.ru
    Адрес
    ул. Гаккелевская, д. 21А
    пн-вс: 08:00 — 21:00
    Московский пр., д. 119
    пн-вс: 08:00 — 21:00
    Обуховской Обороны пр., д. 120 строение 25
    пн-вс: 08:00 — 21:00
    Режим работы
    Гаккелевская ул., д.21А:
    пн-вс:  08:00 — 21:00
    Московский пр., д.119:
    пн-вс:  08:00 — 21:00
    пр. Обуховской Обороны, д.120 строение 25:
    пн-пт:  08:00 — 21:00,
    сб-вс: 10:00 — 17:00
    MedSwiss
    Запись онлайн
    • +7 (812) 318-03-03
      • Телефоны
      • +7 (812) 318-03-03
    • ул. Гаккелевская, д. 21А
      пн-вс: 08:00 — 21:00
      Московский пр., д. 119
      пн-вс: 08:00 — 21:00
      Обуховской Обороны пр., д. 120 строение 25
      пн-вс: 08:00 — 21:00
    • info@medswiss-spb.ru

    Артроскопия суставов

    Главная
    —
    Статьи
    —
    Блог
    —Артроскопия суставов
    Артроскопия суставов
       Блог
      21 января 2026
       ~16 минут
       5787

    Артроскопия – это малоинвазивный хирургический метод лечения различных патологических состояний и заболеваний крупных суставов. Метод позволяет под контролем видеоаппаратуры оперировать

    Артроскопия – это малоинвазивный хирургический метод лечения различных патологических состояний и заболеваний крупных суставов. Метод позволяет под контролем видеоаппаратуры оперировать их через несколько небольших разрезов.

    Стойка с артроскопической техникой

    В отличие от открытых операций, выполняющихся при помощи полноценных разрезов, артроскопия позволяет уменьшить наносимую при операции травму, тем самым сократить период реабилитации пациентов и длительность пребывания в стационаре. Кроме того, артроскопическая операция позволяет детально оценить все структуры поврежденного сустава под большим увеличением.

    В нашем отделении выполняются артроскопические операции на плечевом, локтевом, коленном и голеностопном суставах при различных травмах и заболеваниях.

    Большинство этих операций (исключая вмешательства, связанные с пластикой поврежденных связок) не требуют гипсовой иммобилизации и ходьбы на костылях, а пребывание в стационаре ограничивается несколькими днями.

    Стоимость консультации травматолога-ортопеда и операций Вы можете посмотреть по ссылке.

    Привычный (рецидивирующий) вывих надколенника

    Привычный (рецидивирующий) вывих надколенника – патологическое состояние, при котором возникают повторяющиеся наружные (латеральные) вывихи надколенника (коленной чашечки).

    Впервые возникший у пациента вывих надколенника чаще всего является следствием травмы — прямого удара или резкого сгибания в коленном суставе. Происходит разрыв медиальной поддерживающей связки (или медиальной пателлофеморальной связки, МПФС, MPFL). Эта структура ответственна за удерживание коленной чашечки в правильном положении. При правильном консервативном лечении в большинстве случаев повторных вывихов надколенника не происходит. Однако при наличии у пациента предрасполагающих факторов (например дисплазии, т. е. врожденного нарушения соотношений в суставе) или при отсутствии грамотного лечения может возникнуть ситуация, когда МПФС перестает выполнять свою функцию вследствие перерастяжения, что приводит к повторам вывихов или подвывихов надколенника.

    Привычным вывихам надколенника наиболее подвержены девушки молодого возраста, однако данная патология иногда встречается и у юношей.

    Патологическая подвижность и повторные вывихи надколенника ведут к значимым повреждениям хрящевого покрова коленного сустава, что в свою очередь приводит к появлению стойкого болевого синдрома и снижению физической активности пациентов.

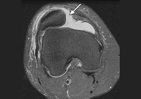
    Диагностика рецидивирующего вывиха надколенника чаще всего не представляет трудностей. Наличие у пациента при нагрузочных тестах выраженной боязни повторного вывиха позволяет заподозрить данную патологию при обычном осмотре травматологом-ортопедом. Для подтверждения диагноза пациентам рекомендуется выполнение магнитно-резонансной томографии (МРТ) коленного сустава. На МРТ выявляются признаки повреждения МПФС, надколенник нередко находится в состоянии подвывиха, а хрящевой покров имеет признаки травматических повреждений.

    Лечение оперативное. Наличие у пациента в анамнезе только одного вывиха коленной чашечки еще не является поводом для операции, но повторяющиеся эпизоды вывихов или подвывихов – прямое показание к хирургической стабилизации надколенника. В настоящее время существует большое количество операций. Наиболее современным и эффективным методом является пластика медиальной пателлофеморальной связки (МПФС) в сочетании с артроскопией коленного сустава.

    Неоспоримым достоинством данной операции является воссоздание нормальной анатомии коленного сустава за счет замещения утраченной МПФС сухожильным трансплантатом.

    Схема артроскопической пластики МПФС

    Артроскопия — это малоинвазивная техника, позволяющая осуществить некоторые хирургические операции на колене. Через 2 прокола под видеоконтролем выполняется визуальный осмотр всех отделов сустава, при необходимости шлифуются поврежденные участки хряща.

    Далее через 2 дополнительных разреза подкожно проводится и фиксируется сухожильный трансплантат, заменяющий утраченную поддерживающую связку надколенника.

    После артроскопической пластики МПФС оперированный сустав обездвиживается при помощи наложения ортопедического тутора, пациенту рекомендуется ходьба на костылях без нагрузки на оперированную конечность в течение 3 недель с момента операции. Ходьба с полной осевой нагрузкой на оперированную конечность в специальном ортезе (наколеннике) с латеральной поддержкой надколенника через 3 недели после операции. Длительность пребывания в стационаре в среднем составляет 5–7 суток. Швы снимаются на 10-е сутки после операции амбулаторно. После снятия ортопедического тутора рекомендован курс реабилитационного лечения, включающий лечебную физкультуру под контролем реабилитолога или врача ЛФК, физиотерапевтические процедуры и прием хондропротекторов. Пациенту рекомендуется воздержаться от спортивных и тяжелых физических нагрузок в течение 6 месяцев после операции.

    Повреждения крестообразных связок коленного сустава

    Передняя крестообразная связка (ПКС) — главный стабилизатор колена, который удерживает голень от смещения кпереди.

    При повреждении (разрыве) передней крестообразной связки возникает патологическая передне-задняя подвижность, что сопровождается ощущениями неустойчивости и болями в коленном суставе.

    Причиной разрыва передней крестообразной связки чаще всего является спортивная или бытовая травма, связанная с вращением бедра относительно голени — разворот корпуса при фиксированной стопе. Наиболее характерным это повреждение является для травм, полученных при падении на горных лыжах и занятиях контактными и игровыми видами спорта (борьба, футбол, хоккей, волейбол и т. д.).

    Для разрыва передней крестообразной связки характерен выраженный болевой синдром в момент получения травмы, возникновение отека коленного сустава в первые сутки. Нередко первые несколько недель пациент не отмечает ощущений неустойчивости в коленном суставе, однако в дальнейшем они нарастают, проявляясь сначала при спортивных, а потом и при повседневных бытовых нагрузках. В случае если пациент с повреждением передней крестообразной связки длительно не получает необходимого лечения, патологическая подвижность в суставе приводит к развитию остеоартроза и необратимых изменений хрящевого покрова коленного сустава.

    Диагностика. Разрыв передней крестообразной связки подтверждается результатами магнитно-резонансной томографии (МРТ) коленного сустава. Рентгенография не является информативным методом исследования при разрыве ПКС, поскольку мягкие ткани, связки и хрящевые структуры не видны на рентгеновских снимках. На МРТ возможно выявить не только признаки повреждения ПКС, но и сопутствующие травмы менисков и хрящевого покрова сустава.

    Лечение разрывов ПКС только оперативное. При выявлении у пациента признаков передне-задней нестабильности коленного сустава или МРТ-признаков разрыва ПКС показано выполнение артроскопической пластики поврежденной связки.

    Схема артроскопической пластики ПКС

    Артроскопия — это малоинвазивная техника, позволяющая осуществить некоторые хирургические операции на колене. Через 2 прокола под видеоконтролем выполняется визуальный осмотр всех отделов сустава, при необходимости производится резекция (т. е. удаление поврежденной части) менисков, шлифуются поврежденные участки хряща.

    Разорванные волокна поврежденной ПКС удаляются из сустава, и через дополнительно сформированную систему костных тоннелей проводится сухожильный трансплантат, заменяющий утраченную переднюю крестообразную связку.

    Артроскопическая картина проведения трансплантата ПКС

    После артроскопической пластики передней крестообразной связки оперированный сустав обездвиживается при помощи наложения ортопедического тутора, пациенту рекомендуется ходьба на костылях без нагрузки на оперированную конечность в течение 3 недель с момента операции. Ходьба с полной осевой нагрузкой на оперированную конечность в ортезе (наколеннике) с боковыми шарнирами возможна через 3 недели. Длительность пребывания в стационаре в среднем составляет 5–7 суток. Швы снимаются на 10-е сутки после операции амбулаторно. После снятия ортопедического тутора рекомендован курс реабилитационного лечения, включающий лечебную физкультуру под контролем реабилитолога или врача ЛФК, физиотерапевтические процедуры и прием хондропротекторов. Пациенту рекомендуется воздержаться от спортивных и тяжелых физических нагрузок в течение 6 месяцев после операции.

    Задняя крестообразная связка (ЗКС) удерживает голень от смещения в коленном суставе кзади. Её повреждения являются следствием тяжелой травмы. Разрыв задней крестообразной связки возникает гораздо реже, чем повреждение ПКС.

    Диагноз ставится при наличии у пациента клинических признаков задней нестабильности коленного сустава и при подтверждении разрыва связки на МРТ коленного сустава.

    При разрыве ЗКС пациенту показано оперативное лечение. Пластика также выполняется артроскопически, однако является более трудоемкой, чем при ПКС, поэтому выполняется относительно небольшим количеством хирургов-ортопедов.

    Схема пластики ЗКС

    Под артроскопическим видеоконтролем удаляются поврежденные волокна ЗКС:

    Далее формируется система костных тоннелей в бедренной и большеберцовой костях:

    Далее в сустав проводится сухожильный трансплантат, формирующий ЗКС:

    После операции коленный сустав обездвиживается специальным заднестабилизирующим ортопедическим тутором.

    Дальнейшие сроки реабилитации и сроки пребывания в стационаре такие же, как при ПКС.

    К наиболее тяжелым травматическим повреждениям коленного сустава относится одномоментный разрыв обеих крестообразных связок, что приводит к развитию выраженной передне-задней нестабильности коленного сустава, значительному ограничению физической активности пациента и стойкому болевому синдрому.

    На наш взгляд, наиболее адекватным методом лечения таких пациентов является выполнение одномоментной артроскопической пластики обеих крестообразных связок.

    Артроскопическая картина конечного результата одномоментной пластики обеих крестообразных связок

    В случае выполнения пластики передней и задней крестообразных связок одним этапом длительность иммобилизации (обездвиживания сустава) и ходьбы на костылях увеличивается до 6 недель с момента операции. В остальном сроки лечения и реабилитации остаются теми же, что и при изолированной пластике одной из крестообразных связок коленного сустава.

    Назад к списку

    MedSwiss

    Номер лицензии: Л041-01137-77/00575146

    Услуги
    Врачи
    Цены
    Акции
    Отзывы
    О нас
    Контакты
    +7 (812) 318-03-03
    +7 (812) 318-03-03
    E-mail
    info@medswiss-spb.ru
    Адрес
    ул. Гаккелевская, д. 21А
    пн-вс: 08:00 — 21:00
    Московский пр., д. 119
    пн-вс: 08:00 — 21:00
    Обуховской Обороны пр., д. 120 строение 25
    пн-вс: 08:00 — 21:00
    Режим работы
    Гаккелевская ул., д.21А:
    пн-вс:  08:00 — 21:00
    Московский пр., д.119:
    пн-вс:  08:00 — 21:00
    пр. Обуховской Обороны, д.120 строение 25:
    пн-пт:  08:00 — 21:00,
    сб-вс: 10:00 — 17:00
    info@medswiss-spb.ru
    ул. Гаккелевская, д. 21А
    пн-вс: 08:00 — 21:00
    Московский пр., д. 119
    пн-вс: 08:00 — 21:00
    Обуховской Обороны пр., д. 120 строение 25
    пн-вс: 08:00 — 21:00
    Цены на сайте приведены как справочная информация и не являются публичной офертой.
    Все цены указаны с учетом всех применимых налогов
    Более точную информацию о стоимости медицинских услуг вы можете получить при очной консультации
    или по многоканальному телефону +7 (812) 318-03-03
    Скачать прайс в формате PDF
    © 2026 MedSwiss. Все права защищены.
    Политика в отношении обработки персональных данных
    Версия для слабовидящих
    Карта сайта
    Имеются противопоказания. Необходима консультация специалиста